关于“2021年临床执业医师实践技能病例分析实战模拟1题——急性淋巴细胞白血病”的内容,相信很多临床执业医师考生都在关注,医学教育网编辑为大家总结整理如下:
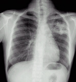
03卷-3.病史:男性,34岁,咳嗽、无痰半月,伴低热。诊断(本题满分2.00分)
A.左上支气管扩张
B.左上肺炎
C.左上浸润型肺结核
D.左侧胸腔积液
【隐藏答案】
本题答案:C
题目解析:【该题针对“X线-浸润型肺结核”知识点进行考核】
更多试题:
实践技能模考系统
以上关于“2021年临床执业医师实践技能实战模考第三套题——第一站辅助检查X线”的文章由医学教育网编辑整理搜集,更多的知识点随时关注医学教育网临床执业医师实践技能辅导精华栏目!
〖医学教育网版权所有,转载务必注明出处,违者将追究法律责任〗

学员讨论(0)
相关资讯
- · 今日挑战:2024临床执业医师实践技能实战模拟练习题
- · 2024临床执业医师技能冲刺每日得分点练习;病例分析-病历摘要
- · 2023年6月15日|临床执业医师资格考试每日一练做题啦!
- · 2023年6月9日|临床执业医师资格考试每日一练做题啦!
- · 2023年6月8日临床助理/执业医师笔试每日一练
- · 2023年6月6日临床助理/执业医师笔试每日一练
- · 2023年6月5日|临床执业医师资格考试每日一练做题啦!
- · 临床执业医师技能颈肩部疼痛2年病史采集答题模板
- · 2023年临床执业医师技能病史采集试题练习——咳嗽/咳血/胸痛
- · 2023年临床执业医师技能病史采集试题练习——头痛的书写模板
















扫一扫立即下载


