关于“2021年临床执业医师实践技能第一站X线模拟试题——实战模考第二套”的内容,相信很多临床执业医师考生都在关注,医学教育网编辑为大家总结整理如下:
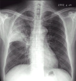
02卷-4.男性,24岁,发热、咳嗽、咳痰4天。诊断(本题满分2.00分)
A.右上肺不张
B.右上胸膜肥厚
C.右上肺癌
D.右上肺炎
【隐藏答案】
本题答案:D
题目解析:【该题针对“X线-肺炎”知识点进行考核】
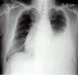
02卷-5.女性,55岁,胸闷、气短5天,加重1天。诊断(本题满分2.00分)
A.右上肺炎
B.左侧胸腔积液
C.左下肺不张
D.左肺癌
【隐藏答案】
本题答案:B
题目解析:【该题针对“X线-胸腔积液”知识点进行考核】
编辑推荐:
全国21年临床执业医师实践技能病例分析诊断公式+历年考试还原考点练习题
2021年实践技能考试考官评分手册——第一站病史采集和病例分析26大试题汇总!
2021年全国临床执业医师实践技能考试基本操作25项内容具体指导
归纳梳理!2021年临床执业医师实践技能体格检查25项操作评分细则
以上关于“2021年临床执业医师实践技能第一站X线模拟试题——实战模考第二套”的文章由医学教育网编辑整理搜集,更多的文章随时关注医学教育网临床执业医师技能辅导精华栏目!
【医学教育网整理,转载请注明出处,违者必究】

- · 今日挑战:2024临床执业医师实践技能实战模拟练习题
- · 2024临床执业医师技能冲刺每日得分点练习;病例分析-病历摘要
- · 2023年6月15日|临床执业医师资格考试每日一练做题啦!
- · 2023年6月9日|临床执业医师资格考试每日一练做题啦!
- · 2023年6月8日临床助理/执业医师笔试每日一练
- · 2023年6月6日临床助理/执业医师笔试每日一练
- · 2023年6月5日|临床执业医师资格考试每日一练做题啦!
- · 临床执业医师技能颈肩部疼痛2年病史采集答题模板
- · 2023年临床执业医师技能病史采集试题练习——咳嗽/咳血/胸痛
- · 2023年临床执业医师技能病史采集试题练习——头痛的书写模板
















扫一扫立即下载


