关于“2021年临床执业医师实践技能实战模考第三套题——X线——心脏增大”的内容,相信很多临床执业医师考生都在关注,医学教育网编辑为大家总结整理如下:
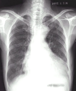
03卷-4.病史:女性,73岁,血压升高10年,心悸、头晕、乏力2周。诊断(本题满分2.00分)
A.梨形心
B.靴形心
C.普大型心脏
D.正常心脏
【隐藏答案】
本题答案:B
题目解析:【该题针对“X线-心脏增大(二尖瓣型、主动脉型和普大型)”知识点进行考核】
更多试题:
全国21年临床执业医师实践技能病例分析诊断公式+历年考试还原考点练习题
2021年实践技能考试考官评分手册——第一站病史采集和病例分析26大试题汇总!
实践技能模考系统
以上关于“2021年临床执业医师实践技能实战模考第三套题——X线——心脏增大”的文章由医学教育网编辑整理搜集,更多的知识点随时关注医学教育网临床执业医师实践技能辅导精华栏目!
〖医学教育网版权所有,转载务必注明出处,违者将追究法律责任〗

学员讨论(0)
相关资讯
- · 2023年6月15日|临床执业医师资格考试每日一练做题啦!
- · 2023年5月15日|临床执业医师资格考试每日一练解析!
- · 2023年4月28日|临床执业医师资格考试每日一练解析!
- · 引起心脏压力负荷过重的因素是?
- · 引起心脏容量负荷过重的因素是?
- · 全国2022年临床执业医师实践技能病例分析答题模板、答题公式
- · 临床体格检查技能模考题:测体温/甲状腺触诊/乳房触诊/心脏视诊
- · 告急!临床执业医师实践技能考试考前弹药补充(模板/公式/试题)一文搞定!
- · 临床执业医师实践技能考试中病例分析主诊断写错会给几分?到底给不给分?
- · 测体温/甲状腺触诊/乳房触诊/心脏视诊——实践技能体格检查题
















扫一扫立即下载


